We value our patients above all else, and are thrilled to share some before and after images following their treatment. If you have any questions about these images or the services we offer, please feel free to call us today and we will be happy to assist you!
L.A.'s Case


This patient had small, narrow front teeth that were corrected with veneers. Dr. Sudeep placed veneers on teeth #6–11 to create a fuller, more balanced smile.
Rosemary's Case


Rosemary was unhappy with her smile and initially asked about dentures. Instead, we restored her natural teeth with crowns and bridges on teeth #4–13—no dentures needed.
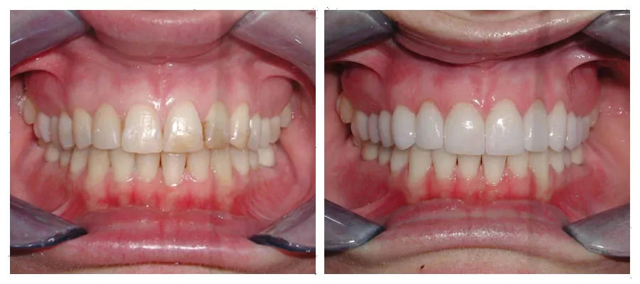
S.C.'s Case


This patient was unhappy with deep tooth staining from tetracycline (antibiotics) that could not be removed with whitening. We restored his upper and lower teeth with crowns, giving him a bright, confident smile.
Andrew's Case


Andrew lost his front teeth in a football accident. He received dental implants for the two front teeth, along with matching crowns on teeth #6–11, restoring his smile.
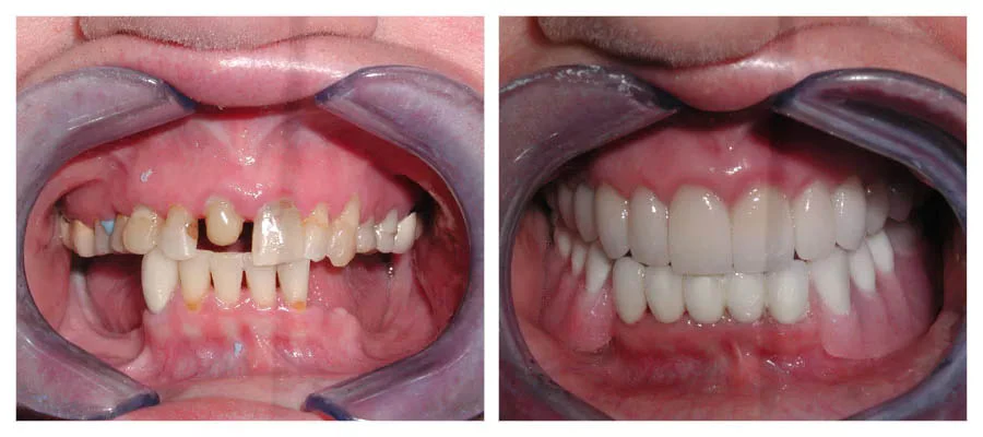
Full-Mouth Reconstruction Case


This patient had severely worn teeth caused by clenching. We restored both the upper and lower teeth with crowns to bring back a healthy, natural-looking smile.
P.B.'s Case


This patient had a dental implant placed at tooth #10. We then completed a full smile restoration using crowns and bridges.
K's Case


This patient was unhappy with the length, color, and size of crowns done at a previous dental office. We replaced the crowns on both the upper and lower teeth, giving her a brighter, more natural-looking smile.
A.C.'s Case


This patient was unhappy with her previous composite veneers. We replaced them with porcelain veneers to create a more natural, beautiful smile.
Invisalign® and Bleaching
Full Mouth Reconstruction
Patient had full mouth reconstruction with multiple crowns and lower partial denture.
Dental Veneers
This patient had 8 dental veneers placed after a car accident.
Full-Mouth Reconstruction
This patient with dental anxiety had sedation to undergo full-mouth reconstruction in order to restore her beautiful smile.
Immediate Denture
Dr. Sudeep created an immediate denture for this patient looking to transform their smile.







